Про нас
Напрямки лікування
Діагностика
Команда
Відгуки
Контакти
Пацієнти
Відділення інтервенційної кардіології
та малоінвазивної хірургії
Статті
Безкоштовні консультації
+38 098 274 43 64
м. Черкаси, вул. Самійла Кішки, 210
Ангіографія нижніх кінцівок
Емболізація маткових артерій (ЕМА)
Емболізація варікоцеле
Балонна ангіопластика судин
Емболізація артерій простати
Коронарографія при болях в серці
Ангіографія судин головного мозку
Коронаровентрикулографія
Церебральна ангіографія
Аортографія
Артеріографія сонних артерій
Артеріографія ниркових артерій
Артеріографія печінкової артерії
Артеріографія селезінкової артерії
Артеріографія нижніх і верхніх кінцівок
Тазова артеріографія
Флебографія вен кінцівок
Ангіопульмонографія
Флебографія сім’яної вени у чоловіків або яєчникової вени у жінок
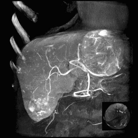
Артеріографія печінкової артерії
- проводиться для діагностики пухлин печінки та цирозу.
Артеріографія печінкової артерії